Javio se zbog slabosti u nozi 👆🏼

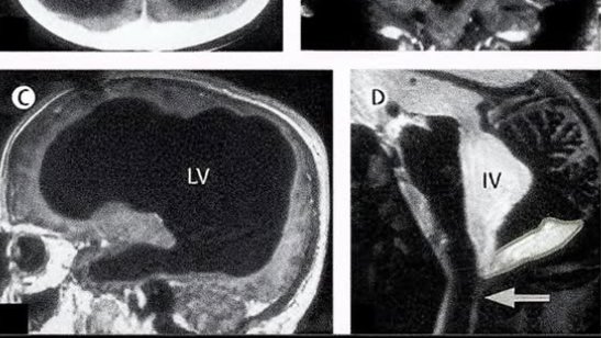
Lekari u Francuskoj su bili šokirani kada su otkrili da pacijentu koji se javio zbog slabosti u nozi nedostaje gotovo 90% moždanog tkiva. Na snimku je otkriveno da mu je lobanja većinski ispunjena tečnošću, te da poseduje samo tanak sloj moždanog tkiva. Dijagnostikovan mu je hidrocefalus.

Ono što ovaj slučaj čini još neobičnijim jeste to što je čovek vodio potpuno normalan život - imao je porodicu, posao i IQ 84, dakle tek nešto niži od proseka. Bio je potpuno svestan i normalno je funkcionisao.

Ovaj neobičan slučaj je naterao naučnike da se još jednom zapitaju - šta zaista formira našu svest?

Autor: redportal.rs